
| 診療時間 | 月 | 火 | 水 | 木 | 金 | 土 |
|---|---|---|---|---|---|---|
| 9:00~13:00 | ● | ● | - | ● | ● | ● |
| 15:00~17:30 | ● | ★ | - | ● | ● | - |
★:火曜午後15:00~19:00
休診日:水曜、土曜午後、日曜・祝日
休診日:水曜、日曜祝日、土曜午後

一般歯科ではカウンセリングを
重視しています。
その方にとって、最善・最適な治療と
アドバイスを行っていきたいと思います。
yoshiko(よしこ)歯科クリニックは、必要以上に歯を削らない無痛むし歯治療法ドッグベストセメント治療で、今ある歯を大切にする治療を行っています。
ドックベストセメント治療は、ドックベストセメントに含まれる鉄(Fe)イオンと銅(Cu)イオンのコンビネーションによる殺菌力により、むし歯を除去しないで 無菌化する治療方法です。
ドックベストセメント治療は、むし歯治療や根管治療などの治療時に行いますが、特にむし歯を完全に除去すると神経まで達してしまい、神経を抜くことになってしまう時などにドックベスト治療を行うと、神経を抜かないで済む確率が高くなり、結果的に歯の寿命を伸ばすことにもつながります。
必要以上に歯を削らないので、痛みを感じないことがほとんどです。
銅イオンで患部を殺菌することにより、神経を残せる可能性が高くなる。
むし歯菌に侵されている歯の内部の象牙質を殺菌することにより、象牙質の再石灰化を促します。
●料 金
充填1本5,000円(税別)
a.. 現在ドックベストセメントは保険適応外ですので、詰め物も保険外となります。
b.. 歯の状況により異なりますが、詰め物の種類によって料金も代わります。(くわしくはお問い合わせ下さい)
歯周病は、細菌の感染によって引き起こされる炎症性疾患です。
歯と歯肉の境目(歯肉溝)の清掃が行き届かないでいると、そこに多くの細菌が停滞し(歯垢の蓄積)歯肉の辺縁が「炎症」を帯びて赤くなったり、腫れたりします(痛みはほとんどの場合ありません)。
そして、進行すると歯周ポケットと呼ばれる歯と歯肉の境目が深くなり、歯を支える土台(歯槽骨)が溶けて歯が動くようになり、最後は抜歯をしなければいけなくなってしまいます。
歯周病はこんな風に進行します。

歯茎が盛り上がった様に赤く腫れて歯磨きを行うと出血します。(歯周炎)

腫れた歯茎と歯の溝に袋の様な歯周ポケットができます。

だんだんと歯肉が下がり、膿みがでたり口臭がします。

歯槽骨が溶け始め、歯がグラグラしてきます。末期には歯が抜けてしまいます。
yoshiko(よしこ)歯科クリニックでは、
レーザーを使った効果的な歯周病治療を
行っています。

まず歯石除去を行い、歯の細菌を減らす。

根元の細菌を出す要素を除去する。

熱と光で残っている歯石をはがす。

炎症のある歯肉を蒸散させる。
歯周病の治療はまず、溜まった歯石の除去から始まります。
歯磨きでは取り除けない歯石はもちろん、取り除けていない歯垢(プラーク)を歯医者で除去することによって炎症が収まっていき、歯周ポケットの深さも浅くなりますので歯周病の進行を抑え、症状の改善が期待できます。
yoshiko(よしこ)歯科クリニックでは、その治療をさらに効果的に、確実に行うためレーザーによる治療を導入しております。
通常の歯石除去では完全に除去できないポケット内の細菌、細菌の出す毒素、深い部分の歯石を溶かすなどレーザー治療を併用することによってより高い効果が期待できます。
歯周病の予防にはプラセンタ治療も効果があります。
口を動かすだけで痛い!
口内炎、ガマンしていませんか?
yoshiko(よしこ)歯科クリニックに
お越しいただければ
痛みなく5分で改善します!
口内炎がレーザーで治療できることを
ご存じでしょうか?
口内炎のレーザー治療は、炭酸レーザーや赤外線によるレーザーを口内炎の部分に照射して治療する方法です。
歯科医療用レーザーは、赤外線の熱エネルギーによるものと、炭酸ガスレーザーです。
レーザーは、光ですが、組織の表面で熱に変わり、治療します。レーザーの効果は、組織の深部までいかないので、安全に治療することができます。副作用もなく、妊娠中や子供にも安心して使用することができます。
むし歯や歯周病をはじめとする歯のトラブルは、進行してしまってから治療を受けるとどうしても費用と時間がかかるものです。また、大掛かりな治療に伴う、肉体的、精神的負担も一層大きくなります。
それだけにむし歯の予防と早期発見が何よりも重要になってくるのですが、それを確実に、効率的に、歯科医の指導のもとで行おうというのが予防歯科です。
yoshiko(よしこ)歯科クリニックでは、大人のための予防歯科プランとして『スマイルクラブ』を設けています。
●プラセンタ療法とは
胎盤(プラセンタ)から抽出されたエキスの有効成分を、注射・内服などにより治療に用いる療法の総称をプラセンタ療法とい います。歯をみがいているのにむし歯や歯周病になる人と、いっさい歯を磨かないのに、むし歯も歯周病もない人の差は、免疫力にもあるということがわかってきました。プラセンタはその免疫の活性をはじめ細胞の修復、抗炎症、血流促進、ホルモンバランス調整など多方面から発症原因や症状に作用します。
●プラセンタ注射
細胞の修復や血行をよくする作用があり歯周病にも効果があります。
| 2アンプル | 3アンプル | 4アンプル | 5アンプル | ||
| 皮下注射 | 初診 | 4,000円 | 4,500円 | 5,000円 | 5,500円 |
| 再診 | 2,000円 | 2,500円 | 3,000円 | 3,500円 |
(税別)
●プラセンタサプリメント
注射に比べると即効性はありませんが管理体制のきっちりした医療機関専用プラセンタはトレーサビリティーがしっかりしているので高い安心を得られます。
●プラセンタのよく効く病気一覧
| 内科 | 頭痛、口内炎、気管支炎、喘息、胃弱、胃炎、胃潰瘍、十二指腸潰瘍、潰瘍性大腸炎、食欲不振、便秘、肝炎、肝硬変、腎炎、パーキンソン病、狭心症、貧血、気管支喘息、慢性気管支炎、慢性疲労、動悸、息切れ、るいそう、虚弱体質、ネフローゼ |
|---|---|
| 整形外科 | 肩こり、腰痛、膝痛、筋肉痛、むちうち症、五十肩、関節リウマチ、変形性関節症、関節炎、神経痛 |
| 外科 | 外傷(擦り傷・切り傷)、手術後の創傷治癒、下肢静脈瘤 |
| 婦人科 | 更年期障害、生理痛、生理不順、無月経、不妊症、冷え性、子宮筋腫、乳汁分泌不全 |
| 皮膚科 | アトピー性皮膚炎、じん麻疹、湿疹、肌荒れ、にきび、そばかす、シミ、シワ、たるみ、乾燥肌、脱毛症、皮膚潰瘍、ケロイド、白斑 |
| 精神神経科 | 自律神経失調症、うつ病(うつ症状)、不眠症、拒食症、てんかん |
| 泌尿器科 | 前立腺肥大、夜尿症、性欲低下、膀胱炎、尿道炎 |
| 眼科 | アレルギー性結膜炎、眼精疲労、視力低下、緑内障、白内障、角膜炎 |
| 耳鼻科 | アレルギー性鼻炎、花粉症、耳鳴り、めまい、難聴、メニエール病、嗅覚低下 |
| 歯科口腔外科 | 歯槽膿漏、歯周病、顎関節症、味覚低下、舌炎、抜歯・インプラント手術後の治癒促進 |
| その他 | インターフェロン・抗がん剤・放射線照射後の副作用軽減 組織修復、現代医学では治しづらい疾患 風邪・インフルエンザの予防、外科手術後の体力回復 シミ・シワの予防、気力の衰えの回復など多数 |
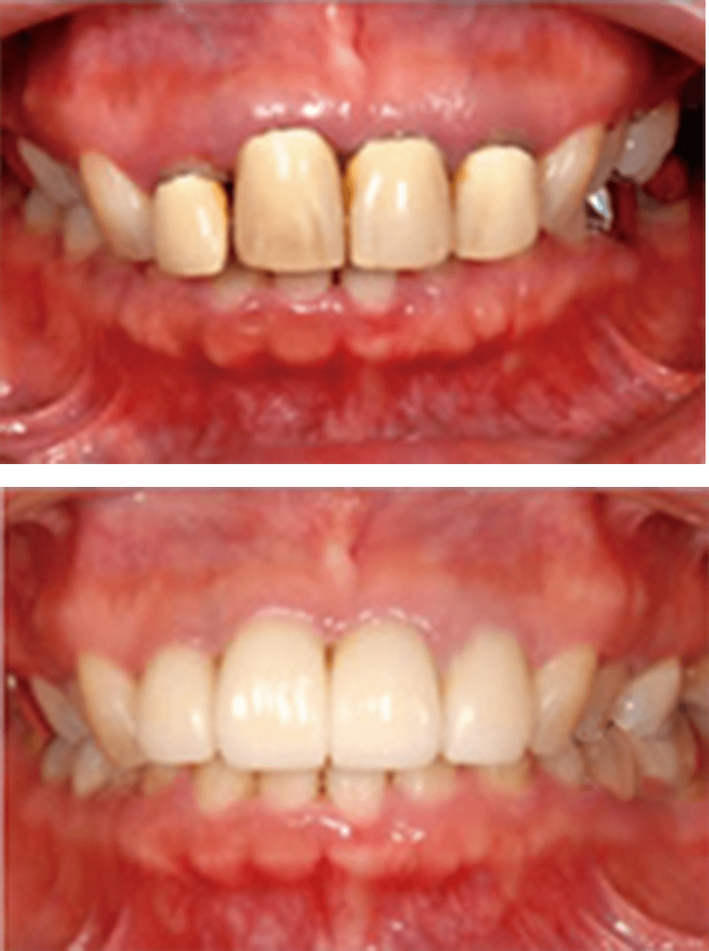
セラミッククラウンは保険が適用されませんが、保険の白い素材(レジン)よりも質が高く、天然の歯と極めて近い美しさに仕上げることができるという特徴があります。前歯だけなど部位に限定されることなく白い素材をお選びいただくことができ、保険のレジンのように時間が経っても変色しにくく、審美性が持続されます。
最近では、以前に治療した金属のクラウンの黒ずみを気にされてセラミッククラウンに交換される患者様や、矯正歯科治療の代りにセラミッククラウンで短期間に歯並びを整える患者様が増えてまいりました。
当院では、金属のクラウンからセラミッククラウンへの変更はもちろん、金属のインレー(詰め物)からセラミックインレーへの変更も行っております。
yoshiko(よしこ)歯科クリニックでは、3Dデータでお口の中をスキャンできる「歯科用CAD/CAMシステム」を導入しました。従来のガムのような印象材を使った歯型取りとは異なり、お口の中を3Dデータ化してコンピューターで処理。さらに院内でセラミック製の詰め物や被せ物を製作できるので、審美治療が最短1日で完了できる先進機器です。
歯型取りから詰め物・被せ物の製作までを、コンピューター処理によりすべて院内で完結。最短1日でセラミックの審美治療が終わります。
歯科用CAD/CAMシステムで製作する詰め物・被せ物は、金属を使わないセラミック製。金属アレルギーの心配がない上に、耐久性の高さが特徴です。
白いセラミック製の素材は、透明感のある自然な色合いの白さ。患者様の天然の歯と並べても違和感がありません。
歯型採取は、小さなハンドル部分をお口に入れていただくだけなので10分ほどで終わります。嘔吐反応も少なく、精密な歯型採取ができるので、マウスピース型矯正装置を製作する際にも活用しています。
入れ歯というと、ばねが見えて年よりくさい、食べ物が挟まって痛い、人と話していたら落ちてくるなど、マイナスイメージを持たれる方も多いと思いますが、当院では、ばねの見えないノンクラスプ義歯や、磁石の維持力を期待するマグネットデンチャーなどもご用意しています。
インプラントはしたいけど、お身体の具合で出来ない方、怖い方、どうぞ当院にご相談ください。
前歯を失った方が入れ歯を入れると、驚くほど明るくなって元気を取り戻されます。入れ歯でしっかり噛むことで、痴呆になる率も低下します。入れ歯は、患者様と歯科医師と二人三脚で力を発揮します。
入れ歯を見直して、明るく楽しく過ごしましょう。
咬筋ボツリヌス治療とは、ボツリヌストキシンから抽出されるタンパク質を咬筋に注入し、緊張をほぐす治療です。
歯ぎしり、食いしばり、顎関節症でお悩みの方はご相談ください。
また、上記の症状により咬筋肥大が起こる場合もございます。
咬筋肥大とは・・・・
咬筋肥大とは、食べ物を咀嚼するときに使う筋肉である「咬筋」が、かみしめ癖や食いしばりなどで必要以上に発達し肥大した状態です。
咬筋肥大は、顎の痛み、肩こり、頭痛、血行不良、むくみなどの原因になる可能性があるといわれています。

顎

肩こり

頭痛
ボツリヌストキシン治療は歯科学会でも発表されている治療です(日本補綴歯科学会・日本顎関節学会など)
●料 金
両側 30,000円(税込33,000円)
1ヶ月後、筋電図検査にて数値に変化がなければリタッチ 両側 10,000円(税込11,000円)